Ağız Yarası Belirtileri ve Tedavisi
Ağız yaraları, ağız içinde veya çevresinde oluşan rahatsız edici yaralardır. Belirtileri arasında ağrı, şişlik ve zorlukla yemek yeme yer alır. Nedenleri arasında yaralanmalar, enfeksiyonlar ve beslenme eksiklikleri bulunur. Tedavi yöntemleri ise yaranın türüne göre değişir.
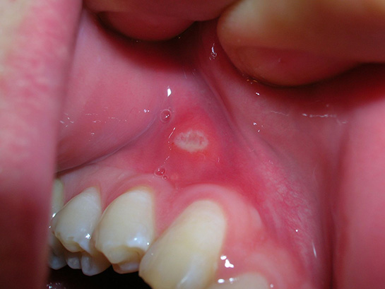
Ağız yaraları, ağız içinde veya çevresinde meydana gelen çeşitli nedenlerden kaynaklanan yanık, yaralanma veya enfeksiyon gibi durumları ifade eder. Bu yaralar, genellikle rahatsız edici ve acı verici olabilir, bu da günlük yaşamı etkileyebilir. Ağız yaralarının belirtileri, tedavi yöntemleri ve önleyici tedbirler hakkında kapsamlı bir inceleme sunulacaktır. Ağız Yaralarının BelirtileriAğız yaraları, çeşitli belirtilerle kendini gösterebilir. Bu belirtiler, yaranın türüne ve nedenine bağlı olarak değişiklik gösterebilir. Genel olarak görülen belirtiler şunlardır:
Ağız Yaralarının NedenleriAğız yaralarının nedenleri oldukça çeşitlidir. Bu nedenler arasında:
Ağız Yaralarının TedavisiAğız yaralarının tedavisi, yaranın nedenine ve şiddetine bağlı olarak değişiklik göstermektedir. Tedavi yöntemleri genel olarak şu şekildedir:
Önleyici TedbirlerAğız yaralarının önlenmesi, sağlıklı bir ağız hijyeni ile mümkün olabilir. Önleyici tedbirler arasında:
SonuçAğız yaraları, birçok insanda sıkça görülen rahatsızlıklardan biridir. Belirtileri, nedenleri ve tedavi yöntemleri hakkında bilgi sahibi olmak, bu durumun yönetilmesine yardımcı olabilir. Eğer ağız yaraları sürekli tekrar ediyorsa veya ciddi bir rahatsızlık hissediliyorsa, mutlaka bir sağlık profesyoneline başvurulmalıdır. Ek olarak, ağız yaralarının tedavisinde alternatif yöntemler de mevcuttur. Bitkisel tedavi yöntemleri, doğal yağlar ve besin takviyeleri gibi alternatif yaklaşımlar, bazı bireyler için faydalı olabilir. Ancak, bu yöntemlerin kullanımı öncesinde mutlaka uzman görüşü alınması önemlidir. |






































Ağzımda çıkan yaralar beni çok rahatsız ediyor ve yemek yerken acı çekiyorum. Özellikle sigarayı bıraktıktan sonra daha sık mı karşılaşacağım bu durumla? Ayrıca, bu yaralar için doğal bir çözüm arıyorum, meyan kökü veya ada çayı gerçekten etkili mi?
Merhaba Otay,
Ağzındaki yaraların seni rahatsız ettiğini anlıyorum. Sigara bırakmak bağışıklık sistemini olumlu etkileyebilir, ancak bazı kişilerde bu süreçte vücut farklı tepkiler verebilir ve ağız yaraları gibi sorunlar ortaya çıkabilir. Bu durumun kalıcı olup olmadığı kişiye göre değişebilir.
Doğal Çözümler:
- Meyan Kökü: Meyan kökü, anti-enflamatuar ve yatıştırıcı özelliklere sahip olabilir. Meyan kökü çayını günde bir kaç kez ağız gargarası olarak kullanabilirsin.
- Ada Çayı: Ada çayı da antiseptik özelliklere sahip olup, ağız yaralarına iyi gelebilir. Ada çayını demleyip soğuduktan sonra ağız gargarası yaparak kullanabilirsin.
Her iki doğal çözümü de denemeden önce doktoruna danışmanı tavsiye ederim, çünkü bazı bitkisel ürünler herkes için uygun olmayabilir. Umarım bu bilgiler işine yarar ve ağız yaralarının verdiği rahatsızlıktan kurtulursun. Geçmiş olsun!